Izrada bezmetalne keramike
U ovom članku prikazujemo kompletan proces izrade bezmetalne keramike u ordinaciji Dr. Milana Pavlovića.
Primer PRE i POSLE izrade bezmetalne keramike. Kilknite na individualnu sliku da bi ste je uvecali (obratite pažnju na izgled konačnog rada koji se vidi u odrazu ogledala).
Ostatak članka sadrži jednu ili više eksplicitnih fotografija sa prikazom medicinskih operacija i ne preporučuju se za osobe koje nemaju odgovarajći stepen tolerancije.
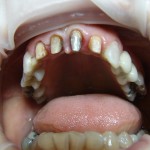
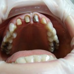
Zatečeno početno stanje
Početak rada i priprema za ugradnju bezmetalne keramike
Izrada bezmetalne keramike u laboratoriji
Zavšen rad – konačni izgled
























